Stlačením klávesy ESC zatvorte

Pripravte seba, svoje deti a starých rodičov na sezónu vírusov a obnovte imunitu  bez nežiaducej hyperstimulácie

V článku sa dozviete ako funguje slizničná imunita, ako mať deti menej často choré a aby ležiaci seniori zbytočne neumierali na zápal plúc.

Imunita má veľa oblastí (obranných línií) a je nesmierne komplikovaná. Tvorí ju zložitý systém buniek (bunková imunita) a chemických látok (látková imunita). Pre bežný každodenný život je pre nás najdôležitejší systém slizničnej imunity. Lebo práve cez sliznice (nosová, črevná, očná, priedušková atď) sa do nás dostávajú patogény (vírusy, baktérie, plesne a pod). Dobre fungujúca slizničná imunita dokáže eliminovať až 99% bežných hrozieb (napr. vírusov). Ale čo je to vlastne tá slizničná imunita? 

M.A.L.T. = skratka pre slizničnú imunitu

M.A.L.T. (angl. Mucosa Asociated Lymphoid Tissue) je skratka pre lymfatický systém spojený so sliznicou, ľudovo a zjednodušene je to vlastne slizničná imunita. Ide o zhluk drobných útvarov (viditeľných pod mikroskopom), ktorými je každá sliznica doslova pretkaná (pozri obrázok dolu). Predstavme si to, ako veľké množstvo malých pevností, ktorými je posiata hranica medzi dvoma štátmi napr. vo vojnovom stave. V našom prípade je tou hranicou sliznica, ktorá oddeľuje náš organizmus od vonkajšieho prostredia. Naše telo a vonkajšie prostredie sú si vzájomne vlastne znepriatelené prostredia. Tieto mále „pevnosti“ obsahujú každá státisíce špecifických buniek – lymfocytov ktoré, ako vojaci, čakajú na povel a okamžite začnú ničiť „votrelca“ (napr. vírus, baktériu, pleseň), ak sa snaží prekonať sliznicu. Avšak nie všetky lymfocyty v MALT pevnostiach sú schopné bojovať. A tu nastáva rozdiel medzi produktami podporujúcimi imunitu.  

M.A.L.T. (slizničná imunita) tvorí až 50% celého ľudského imunitného systému. Takže je naozaj pre naše telo suverénne najdôležitejší. Ak ho teda dokážeme vhodne regulovať (nie hyperstimulovať), odvedie perfektnú prácu a účinne nás ochráni pred 99 % bežných hrozieb. Ako na to?

Mikroskopický rez nosovou dutinou (obr. A) s prítomnou sliznicou. Na obrázkoch B, C, D, šípky ukazujú na MALT zhluky (pevnosti) plné imunitných lymfocytov

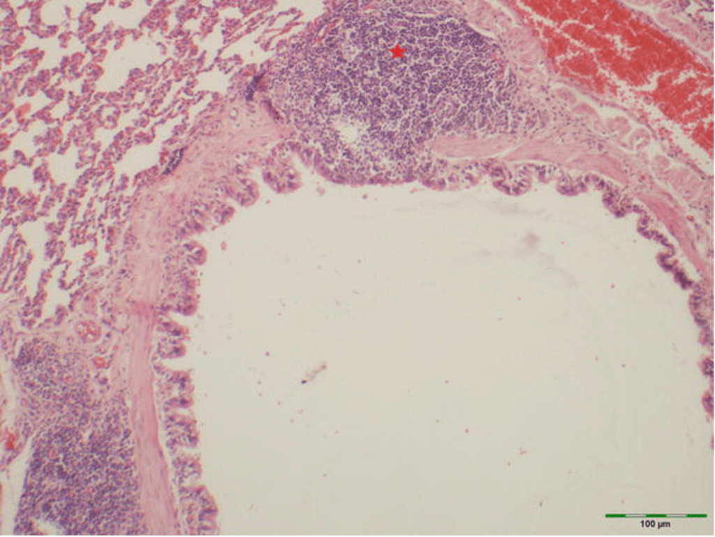
Mikroskopický rez malou prieduškou v pľúcach. Hviezda ukazuje na MALT zhluk, ktorý je plný imunitných lymfocytov

PRO-MALT – účinne obnovuje (moduluje) MALT dýchacej sústavy, bez rizika hyperstimulácie a dokázateľne chráni aj deti pred respiračnými vírusovými ochoreniami

Slovensko-talianska spoločnosť PHARCO GRANCREO vyvinula a priniesla na trh v časoch kovidu inovatívny produkt PRO-MALT. Jeho zloženie je zamerané na obnovenie (moduláciu) slizničnej imunity dýchacích ciest. Práve v čase kovidu sa ukázal jeho nenahraditeľný účinok a mnohým postihnutým zrejme zachránil život. Pre laikov je pomerne náročné opísať ako funguje. Tak skúsim jeho pôsobenie vysvetliť názorne a v porovnaní s bežnými imunitu podporujúcimi (hyperstimulujúcimi) produktami.

Drvivá väčšina produktov na imunitu má ako hlavný účinok len hyperstimuláciu imunitných procesov. Fungujú podobne, ako turbo v aute. Krátkodobo zvyšujú a urýchľujú výkon týchto procesov, ktoré má organizmus aktuálne k dispozícii pre imunitu. No a tu je ďalší zásadný rozdiel. Tieto produkty nepridávajú žiadne dodatočné imunitné vlastnosti telu. Ani turbo v aute, okrem krátko trvajúceho zvýšenia výkonu, nepridáva autu nič viac. Samozrejme, neznamená to, že je to zle a produkty nie sú funkčné. Avšak veda pokročila a priniesla aj účinnejšie možnosti ako podporiť imunitu.

Výhody produktu PRO-MALT sú v udržateľnosti normálnej imunity sliznice dýchacích ciest

PRO-MALT bol cielene vyvinutý za účelom, aby vhodne reguloval bunkovú aj látkovú časť imunity, pričom ani jenu z nich nestimuloval k prehnanej odozve. Jednoducho, aby ju v podstate udržiaval v normálnom stave. Vyššie sme spomenuli, že v „pevnostiach“ MALT sú prítomné státisíce lymfocytov. Práve oni sú jediné schopné likvidovať vírusy a podobne. Avšak dokážu to iba lymfocyty, ktoré sú tzv. imunitne zrelé. Predstavme si to, ako vojakov. Aj v kasárni sa nachádza veľa vojakov, ale bojovať môžu iba tí, ktoré prešli riadnym výcvikom. Ostatní vojaci sú v kasárni len ako „zásoba“. Presne tak je to aj s lymfocytmi. V pevnostiach MALT sa nachádza veľa lymfocytov, ale iba malá časť je imunitne zrelých (vycvičených) na boj. Nezrelé lymfocyty sú len zásoba, imunite nijak nepomôžu, pokým neprejdú špeciálnou premenou (zrením).

A práve tu prichádza na pomoc inovatívny PRO-MALT. 

Jeho zloženie preukázateľne zvyšuje počet imunitne zrelých lymfocytov v MALT pevnostiach (pozri obrázok dolu). V tom tkvie jeho inovácia, takých produktov na trhu je veľmi málo. PRO-MALT nefunguje ako turbo v aute, ktoré „drancuje“ motor k maximálnemu výkonu. PRO-MALT mu pridáva akoby ďalšie valce. Viac valcov poháňa auto silnejšie, ale hlavne rovnomernejšie a trvalejšie. Takže má dlhšiu životnosť, pohodlnejšiu a tichšiu jazdu. 

Množenie a dozrievanie lymfocytov vďaka špeciálnemu zloženiu PRO-MALT. Tie následne efektívne likvidujú vírusom postihnuté bunky

Ďalšou výhodou PRO-MALT oproti bežným imunoproduktom je, že obsahuje látku, ktorá tlmí úvodnú prehnanú zápalovú reakciu dýchacej sliznice (MALT) pri kontakte s patogénom (napr. vírusom). Táto reakcia sa odborne označuje aj ako cytokínová búrka a PRO-MALT ju dokáže výrazne skrotiť. To je vyslovene žiadúce pri obzvlášť agresívne prebiehajúcej infekcii dýchacích ciest (napr. chrípka, ale aj ako bol napr. kovid), a hlavne v pľúcach. Akútny zápal pľúc je obzvlášť závažný život ohrozujúci stav, najmä pri kovide pri ňom bola extrémne vysoká úmrtnosť. Užívanie PRO-MALT, práve vďaka unikátnej schopnosti obmedziť úvodný zápal, v časoch kovidu zrejme prispel k záchrane života množstva ľudí.

Pre koho je PRO-MALT vhodný a čo dokázala štúdia u detí?

PRO-MALT bol vyvíjaný v časoch kovidu. Takže hlavným cieľom bolo výrazne zvýšiť imunitu dýchacej sliznice a zachrániť ľudí. Je teda vyslovene vhodný pre ľudí a deti (od 6. rokov) s častými alebo opakujúcimi sa (min. 3x za rok) infekciami horných alebo dolných dýchacích ciest. Tiež pre alergikov s prejavmi na dýchacích cestách, napr. nosový výtok, kašeľ. 

Odporúča sa užívať ho v čase zvýšených respiračných infekcií v období od októbra do februára. Štúdia (obrázok dolu) u detí preukázala, že zloženie produktu dokáže v tomto čase až u takmer polovice detí s opakovanými respiračnými infekciami (min. 3 akútne respiračné infekcie za rok) znížiť počet akútnych infekcii na 0 (slovom nula). U ďalších takmer 40 % detí došlo k zníženiu počtu akútnych infekcií dýchacích ciest na najviac 1 akútnu infekciu v danom období.*

Výsledky klinického skúšania u detí. Žlté stĺpce pre zloženie ako PRO-MALT. Červené stĺpce ukazujú na bakteriálne lyzáty s výrazne obmedzeným imunoúčinkom.

PRO-MALT je tiež vyslovene vhodný aj pre ľudí trpiacich autoimunitným (napr. reuma, skleróza, asthma, psoriáza, Crohn atď.) alebo onkologickým ochorením. U nich je akákoľvek stimulácia imunity vyslovene nežiadúca, keďže môže významne znížiť účinnosť primárnej liečby. Keďže PRO-MALT imunitu moduluje a nie stimuluje, predstavuje pre túto skupinu jednu z mála bezpečných alternatív.

Asthma

Reuma

Psoriáza

Crohnova choroba

PRO-MALT je tiež vhodný preventívne pre ľudí alebo starších, ktorý nastupujú liečbu (prípadne operáciu) do nemocníc. V nemocniciach je bežná nozokomiálna infekcia, odolná na väčšinu antibiotík. Seniori sú vystavení riziku zápalu pľúc pri dlhšom ležaní (nie len v nemocnici). Akútny zápal pľúc patrí u seniorov po obehových príčinách (srdcové zlyhanie, infarkt, porážka) k druhej najčastejšej príčine úmrtia. Pravidelné preventívne užívanie PRO-MALT im môže zachrániť život.

PRO-MALT obsahuje 30 kapsúl, užíva sa vždy 10 dní v mesiaci a jeho imunomodulačný účinok obvykle pretrváva ďalšie 3 týždne. Je bežne dostupný v lekárňach a pri obvyklej cene, vychádza denná dávka na menej ako 1 Euro, a to stojí za vyskúšanie.

Porovnanie rozdieľov účinku bežných imunitu stimulujúcich produktov a produktu PRO-MALT

*Adele Nigro, Amerigo Nicastro, and Rinaldo Trodella – Retrospective observational study to investigate PRO-MALT simmilary product, a multifactorial nutritional product, and bacterial extracts in theprevention of Recurrent Respiratory Infections in children – International Journal of immunopathology and pharmacology.

Pripravte seba, svoje deti a starých rodičov na sezónu vírusov a obnovte imunitu  bez nežiaducej hyperstimulácie

V článku sa dozviete ako funguje slizničná imunita, ako mať deti menej často choré a aby ležiaci seniori zbytočne neumierali na zápal plúc.

Imunita má veľa oblastí (obranných línií) a je nesmierne komplikovaná. Tvorí ju zložitý systém buniek (bunková imunita) a chemických látok (látková imunita). Pre bežný každodenný život je pre nás najdôležitejší systém slizničnej imunity. Lebo práve cez sliznice (nosová, črevná, očná, priedušková atď) sa do nás dostávajú patogény (vírusy, baktérie, plesne a pod). Dobre fungujúca slizničná imunita dokáže eliminovať až 99% bežných hrozieb (napr. vírusov). Ale čo je to vlastne tá slizničná imunita? 

M.A.L.T. = skratka pre slizničnú imunitu

M.A.L.T. (angl. Mucosa Asociated Lymphoid Tissue) je skratka pre lymfatický systém spojený so sliznicou, ľudovo a zjednodušene je to vlastne slizničná imunita. Ide o zhluk drobných útvarov (viditeľných pod mikroskopom), ktorými je každá sliznica doslova pretkaná (pozri obrázok dolu). Predstavme si to, ako veľké množstvo malých pevností, ktorými je posiata hranica medzi dvoma štátmi napr. vo vojnovom stave. V našom prípade je tou hranicou sliznica, ktorá oddeľuje náš organizmus od vonkajšieho prostredia. Naše telo a vonkajšie prostredie sú si vzájomne vlastne znepriatelené prostredia. Tieto mále „pevnosti“ obsahujú každá státisíce špecifických buniek – lymfocytov ktoré, ako vojaci, čakajú na povel a okamžite začnú ničiť „votrelca“ (napr. vírus, baktériu, pleseň), ak sa snaží prekonať sliznicu. Avšak nie všetky lymfocyty v MALT pevnostiach sú schopné bojovať. A tu nastáva rozdiel medzi produktami podporujúcimi imunitu.  

M.A.L.T. (slizničná imunita) tvorí až 50% celého ľudského imunitného systému. Takže je naozaj pre naše telo suverénne najdôležitejší. Ak ho teda dokážeme vhodne regulovať (nie hyperstimulovať), odvedie perfektnú prácu a účinne nás ochráni pred 99 % bežných hrozieb. Ako na to?

Mikroskopický rez nosovou dutinou (obr. A) s prítomnou sliznicou. Na obrázkoch B, C, D, šípky ukazujú na MALT zhluky (pevnosti) plné imunitných lymfocytov

Mikroskopický rez malou prieduškou v pľúcach. Hviezda ukazuje na MALT zhluk, ktorý je plný imunitných lymfocytov

PRO-MALT – účinne obnovuje (moduluje) MALT dýchacej sústavy, bez rizika hyperstimulácie a dokázateľne chráni aj deti pred respiračnými vírusovými ochoreniami

Slovensko-talianska spoločnosť PHARCO GRANCREO vyvinula a priniesla na trh v časoch kovidu inovatívny produkt PRO-MALT. Jeho zloženie je zamerané na obnovenie (moduláciu) slizničnej imunity dýchacích ciest. Práve v čase kovidu sa ukázal jeho nenahraditeľný účinok a mnohým postihnutým zrejme zachránil život. Pre laikov je pomerne náročné opísať ako funguje. Tak skúsim jeho pôsobenie vysvetliť názorne a v porovnaní s bežnými imunitu podporujúcimi (hyperstimulujúcimi) produktami.

Drvivá väčšina produktov na imunitu má ako hlavný účinok len hyperstimuláciu imunitných procesov. Fungujú podobne, ako turbo v aute. Krátkodobo zvyšujú a urýchľujú výkon týchto procesov, ktoré má organizmus aktuálne k dispozícii pre imunitu. No a tu je ďalší zásadný rozdiel. Tieto produkty nepridávajú žiadne dodatočné imunitné vlastnosti telu. Ani turbo v aute, okrem krátko trvajúceho zvýšenia výkonu, nepridáva autu nič viac. Samozrejme, neznamená to, že je to zle a produkty nie sú funkčné. Avšak veda pokročila a priniesla aj účinnejšie možnosti ako podporiť imunitu.

Výhody produktu PRO-MALT sú v udržateľnosti normálnej imunity sliznice dýchacích ciest

PRO-MALT bol cielene vyvinutý za účelom, aby vhodne reguloval bunkovú aj látkovú časť imunity, pričom ani jenu z nich nestimuloval k prehnanej odozve. Jednoducho, aby ju v podstate udržiaval v normálnom stave. Vyššie sme spomenuli, že v „pevnostiach“ MALT sú prítomné státisíce lymfocytov. Práve oni sú jediné schopné likvidovať vírusy a podobne. Avšak dokážu to iba lymfocyty, ktoré sú tzv. imunitne zrelé. Predstavme si to, ako vojakov. Aj v kasárni sa nachádza veľa vojakov, ale bojovať môžu iba tí, ktoré prešli riadnym výcvikom. Ostatní vojaci sú v kasárni len ako „zásoba“. Presne tak je to aj s lymfocytmi. V pevnostiach MALT sa nachádza veľa lymfocytov, ale iba malá časť je imunitne zrelých (vycvičených) na boj. Nezrelé lymfocyty sú len zásoba, imunite nijak nepomôžu, pokým neprejdú špeciálnou premenou (zrením).

A práve tu prichádza na pomoc inovatívny PRO-MALT. 

Jeho zloženie preukázateľne zvyšuje počet imunitne zrelých lymfocytov v MALT pevnostiach (pozri obrázok dolu). V tom tkvie jeho inovácia, takých produktov na trhu je veľmi málo. PRO-MALT nefunguje ako turbo v aute, ktoré „drancuje“ motor k maximálnemu výkonu. PRO-MALT mu pridáva akoby ďalšie valce. Viac valcov poháňa auto silnejšie, ale hlavne rovnomernejšie a trvalejšie. Takže má dlhšiu životnosť, pohodlnejšiu a tichšiu jazdu. 

Množenie a dozrievanie lymfocytov vďaka špeciálnemu zloženiu PRO-MALT. Tie následne efektívne likvidujú vírusom postihnuté bunky

Ďalšou výhodou PRO-MALT oproti bežným imunoproduktom je, že obsahuje látku, ktorá tlmí úvodnú prehnanú zápalovú reakciu dýchacej sliznice (MALT) pri kontakte s patogénom (napr. vírusom). Táto reakcia sa odborne označuje aj ako cytokínová búrka a PRO-MALT ju dokáže výrazne skrotiť. To je vyslovene žiadúce pri obzvlášť agresívne prebiehajúcej infekcii dýchacích ciest (napr. chrípka, ale aj ako bol napr. kovid), a hlavne v pľúcach. Akútny zápal pľúc je obzvlášť závažný život ohrozujúci stav, najmä pri kovide pri ňom bola extrémne vysoká úmrtnosť. Užívanie PRO-MALT, práve vďaka unikátnej schopnosti obmedziť úvodný zápal, v časoch kovidu zrejme prispel k záchrane života množstva ľudí.

Pre koho je PRO-MALT vhodný a čo dokázala štúdia u detí?

PRO-MALT bol vyvíjaný v časoch kovidu. Takže hlavným cieľom bolo výrazne zvýšiť imunitu dýchacej sliznice a zachrániť ľudí. Je teda vyslovene vhodný pre ľudí a deti (od 6. rokov) s častými alebo opakujúcimi sa (min. 3x za rok) infekciami horných alebo dolných dýchacích ciest. Tiež pre alergikov s prejavmi na dýchacích cestách, napr. nosový výtok, kašeľ. 

Odporúča sa užívať ho v čase zvýšených respiračných infekcií v období od októbra do februára. Štúdia (obrázok dolu) u detí preukázala, že zloženie produktu dokáže v tomto čase až u takmer polovice detí s opakovanými respiračnými infekciami (min. 3 akútne respiračné infekcie za rok) znížiť počet akútnych infekcii na 0 (slovom nula). U ďalších takmer 40 % detí došlo k zníženiu počtu akútnych infekcií dýchacích ciest na najviac 1 akútnu infekciu v danom období.*

Výsledky klinického skúšania u detí. Žlté stĺpce pre zloženie ako PRO-MALT. Červené stĺpce ukazujú na bakteriálne lyzáty s výrazne obmedzeným imunoúčinkom.

PRO-MALT je tiež vyslovene vhodný aj pre ľudí trpiacich autoimunitným (napr. reuma, skleróza, asthma, psoriáza, Crohn atď.) alebo onkologickým ochorením. U nich je akákoľvek stimulácia imunity vyslovene nežiadúca, keďže môže významne znížiť účinnosť primárnej liečby. Keďže PRO-MALT imunitu moduluje a nie stimuluje, predstavuje pre túto skupinu jednu z mála bezpečných alternatív.

Asthma

Reuma

Psoriáza

Crohnova choroba

PRO-MALT je tiež vhodný preventívne pre ľudí alebo starších, ktorý nastupujú liečbu (prípadne operáciu) do nemocníc. V nemocniciach je bežná nozokomiálna infekcia, odolná na väčšinu antibiotík. Seniori sú vystavení riziku zápalu pľúc pri dlhšom ležaní (nie len v nemocnici). Akútny zápal pľúc patrí u seniorov po obehových príčinách (srdcové zlyhanie, infarkt, porážka) k druhej najčastejšej príčine úmrtia. Pravidelné preventívne užívanie PRO-MALT im môže zachrániť život.

PRO-MALT obsahuje 30 kapsúl, užíva sa vždy 10 dní v mesiaci a jeho imunomodulačný účinok obvykle pretrváva ďalšie 3 týždne. Je bežne dostupný v lekárňach a pri obvyklej cene, vychádza denná dávka na menej ako 1 Euro, a to stojí za vyskúšanie.

Porovnanie rozdieľov účinku bežných imunitu stimulujúcich produktov a produktu PRO-MALT

*Adele Nigro, Amerigo Nicastro, and Rinaldo Trodella – Retrospective observational study to investigate PRO-MALT simmilary product, a multifactorial nutritional product, and bacterial extracts in theprevention of Recurrent Respiratory Infections in children – International Journal of immunopathology and pharmacology.